¿Y tú que opinas?
Nombre:
Categorías:
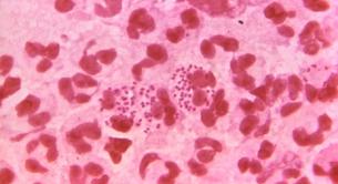
Detección y tratamiento de la gonorrea, la ETS invisible
La "super gonorrea" crece entre los gays
Suscribete a nuestra newsletter:
Acepto los terminos y condiciones y la política de privacidad.
¿Quieres enterarte de las mejores noticias LGBTIQ+?